X
Lo + Viral

Por abusar de los hisopos, le quedó algodón en el oído y terminó con infección cerebral

Lo descubrieron después de años de tenerlo retenido en sus oídos. Salvó su vida de milagro.

26/06/2019

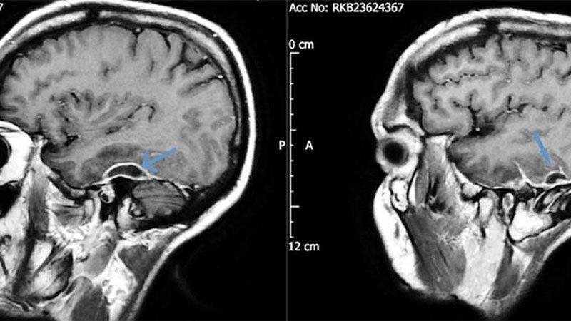
Un hombre de 31 años terminó con una grave infección en el cerebro después de usar en reiteradas ocasiones hisopos o cotonetes, informó la revista especializada BMJ Case Reports.

El paciente presentó convulsiones y estuvo a punto de colapsar. Los primeros exámenes que le realizaron, mostraron que el presentaba adormecimiento, desorientación y un estado alterado de conciencia. Le contó a los médicos que días antes tuvo dolores de cabeza, así como dificultad para recordar nombres. Dijo, además, que durante los últimos cinco años padeció un interminable dolor en el oído izquierdo y que poco a poco estaba perdiendo la audición.

Desde el servicio de emergencias pidieron una tomografía de cabeza y encontraron en el paciente acumulaciones de pus en el tejido que rodeaba su cerebro. Los análisis de sangre revelaron que la bacteria que causó la grave infección fue la Pseudomonas aeruginosa, y se trasladó a través de un pedazo de algodón que formaba parte de un hisopo que se había desprendido dentro de la cabeza del paciente hacía años. La infección, también conocida como otitis externa necrosante, podría afectar los nervios faciales, causando secuelas similares a las de un accidente cerebrovascular. Sin embargo, en este caso y a partir del descubrimiento, se procedió a retirar el algodón con anestesia y después de ocho semanas de antibióticos intravenosos, el hombre se recuperó por completo.

Es peor el remedio...

La cera del oído está presente con el fin de proteger la parte sensible contra cualquier tipo de daño. Además, evita que la oreja se seque y también previene que la suciedad y los gérmenes entren en el oído interno, causando infecciones e irritación.

Desde la Clínica Mayo, recomiendan evitar escarbar en el interior del oído y esperar a que la cera se afloje, salga al oído externo (la parte visible), desde donde puede ser retirada suavemente durante el baño y con ayuda de un paño.