X
Lo + Viral

Extirparon una “bolsa de bolitas” que le crecía en la cabeza a una mujer

La mujer buscó ayuda médica luego que la protuberancia en su cabeza superó los 15 centímetros. Lo tenía desde la infancia pero dijo que nunca sintió dolor. ¿Qué era?

27/07/2023

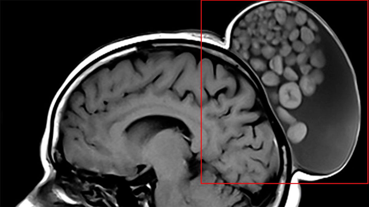
Un equipo médico dirigido por los neurocirujanos Sumit Thakar y Pavan Vasoya, del Instituto Sri Sathya Sai de Ciencias Médicas Superiores (India), extirparon un bulto en la cabeza de una mujer de 52 años que se encontraba lleno de bolas blancas como si fuese un "saco de canicas". En un informe publicado recientemente en la revista Radiology, los autores detallaron que la protuberancia estaba creciendo en el cuero cabelludo de la mujer desde su infancia.

La paciente nunca había buscado atención médica y manifestó que nunca había sentido dolor. Solo se presentó en el hospital cuando la masa ya había crecido en la región parieto-occipital más de 15 cm de largo, por más de 10 cm de ancho y más de 12 cm de alto.


Te recomendamos: Insólito: fue al hospital por un dolor en la cabeza y los médicos descubrieron que tenía una bala


Imagen de lo extraído Imagen de lo extraído

Un teratoma quístico maduro


Te recomendamos: Médicos le dieron laxante a un paciente para que expulse una pelota de golf que se introdujo en el ano


Después de completar la escisión quirúrgica, los doctores observaron que el quiste contenía material similar al sebo, esférulas duras y múltiples mechones de cabello flotando dentro de una matriz líquida. Un examen histopatológico confirmó el diagnóstico de un teratoma quístico maduro, con elementos de las tres capas germinales (embrionarios). Los especialistas controlaron la evolución de la mujer durante seis meses luego de la extracción del quiste y comprobaron que no se presentó una recurrencia.

Los teratomas quísticos maduros se encuentran comúnmente en los tejidos gonadales (reproductivos) y en la región de la cabeza y el cuello. En la cabeza, tienen tendencia a desarrollarse en la órbita y el cuero cabelludo.