X
Revista

Qué es la neumonía bilateral y cuáles son sus síntomas

Tras el brote de una enfermedad desconocida en la provincia de Tucumán es importante recordar los aspectos de esta patología a la cual es asociada.

03/09/2022

El brote de una enfermedad desconocida en Tucumán despertó las preocupaciones de las autoridades sanitarias que buscan determinar el origen y la estructura de esta patología.

Mientras tanto las primeras observaciones detallan que tiene similitudes con una neumonía bilateral.


Te recomendamos: Atención: todo lo que tienes que saber para desarrollar tus músculos


En este orden, vale mencionar que la neumonía bilateral es una infección pulmonar que puede darse a través de una bacteria o virus adquirido durante la internación o la afectación de los pulmones con alguna enfermedad respiratoria.

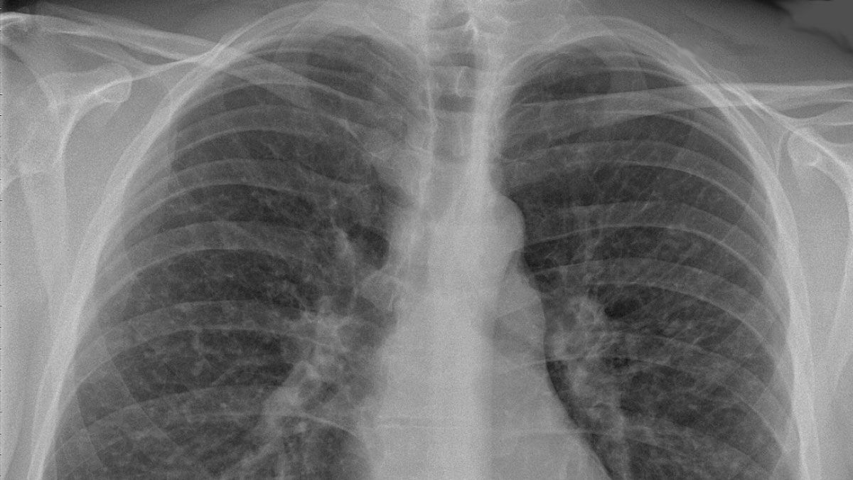
"La neumonía bilateral puede detectarse por una tomografía o radiografía de tórax", señaló la neumonóloga Ana María Putruele, Jefa de Neumología del Hospital de Clínicas José de San Martín.

“Se desarrolla cuando los patógenos —ya sean virus, bacterias u otros microorganismos— generan inflamación e infección en los pulmones. A su vez, esa presencia de pus y líquido en los alvéolos produce una insuficiencia respiratoria grave, por lo que es necesario recurrir a la asistencia respiratoria”, indicó la profesional.


Síntomas de la neumonía bilateral:

- Fiebre alta

- Dificultad para respirar

- Tos con flema

- Escalofríos

- Dolor en el pecho

- Dolor de espalda

- Náuseas o vómitos

- Diarrea

El diagnóstico de la neumonía bilateral se hace a través de una radiografía del tórax. También es necesario realizar una exploración física y, una vez que se establece el diagnóstico, generalmente hacen falta otras pruebas para ver el tipo de gérmenes y el tipo de severidad.

En los casos más leves no es necesario el ingreso hospitalario, pero en casos más severos, bien por la condición del paciente que lo tiene o la gravedad de la neumonía o la situación incluso social, puede ser necesaria la internación para la asistencia respiratoria.