X
Lo + Viral

Se clavó un vidrió en la cara y anduvo así durante un mes

Un chico español vivió un mes sin darse cuenta que llevaba un trozo de cristal incrustado en la cara. Los cirujanos le extrajeron el objeto, de unos 3,5 centímetros de longitud.

22/07/2019

Un chico de 14 años de Sevilla (Andalucía, España) vivió un mes sin percatarse de la presencia de un cristal punzante de 3,5 centímetros que llevaba incrustado en el pómulo izquierdo, según un artículo publicado el mes pasado en The Journal of Emergency Medicine.

Según la publicación, el joven se clavó el objeto tras desmayarse y caer contra una ventana. Los médicos le suturaron la herida de un centímetro que presentaba en la mejilla, pero al cabo de un mes el adolescente empezó a sentir dolor al masticar y al abrir la mandíbula, por lo que decidió ir a urgencias.

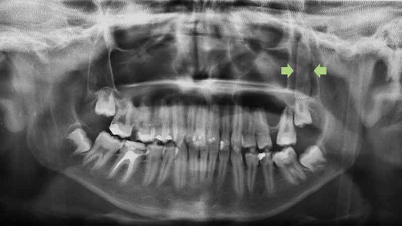
En el Hospital Universitario Virgen del Rocío le hicieron una radiografía y una tomografía computarizada que reveló la existencia detrás de un pómulo de un objeto rectangular de unos 3,5 centímetros de longitud "que tenía forma de hoja de cuchillo".

"Es un caso relativamente raro", reza el estudio, que recuerda que esta parte del cuerpo se encuentra bien protegida por el pómulo. Los médicos le practicaron una cirugía para extraer el objeto de cristal a través de la boca del chico desde la parte inferior de la mejilla. Tras la intervención quirúrgica, el joven pudo mover de nuevo la mandíbula con normalidad y no tuvo complicaciones en los siguientes seis meses.