X
Lo + Viral

Descubre que tenía un parásito en el cerebro y festeja la noticia

La mujer dijo que fue la mejor noticia que le podían haber dado. Los médicos se sorprendieron con lo que encontraron al abrir el cráneo.

07/06/2019

Sentir un gran alivio al conocer que uno tiene un gusano enorme en el cerebro solo es posible si el diagnóstico anterior era aún peor, y esto es lo que le sucedió a una mujer neoyorquina, informa Live Science.

En enero de 2018, Rachel Palma, de 42 años, empezó a notar que olvidaba palabras y que las tazas de café y otros objetos se le caían de las manos. Cuando los síntomas se agravaron hasta no poder completar frases y sufrir insomnio, pesadillas y alucinaciones, la mujer pidió asistencia médica.

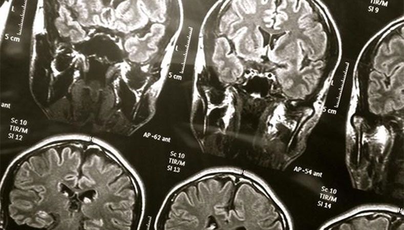
Al escanear su cerebro, los médicos detectaron una lesión de aspecto raro que hacía suponer que era de origen canceroso, por lo que se procedió a operarla.

Pero cuando los especialistas del Hospital Mount Sinai de Nueva York abrieron el cráneo de Palma el pasado septiembre, lo que vieron los dejó boquiabiertos.

En vez del tejido suave de un tumor, lo que los doctores tenían ante sus ojos era algo más parecido a una roca o un huevo de codorniz. Tras extraer el tejido y cortarlo bajo un microscopio, se dieron cuenta de que lo que estaban observando era la larva de una tenia.

Los médicos entonces cambiaron el diagnóstico de Palma y determinaron que sufría neurocisticercosis, una enfermedad parasítica que se contrae al consumir huevos de gusanos de la tenia alojados en carne de cerdo poco hecha. Cuando las larvas salen del cascarón se extienden por el cuerpo humano, incluido el cerebro, músculos, la piel y los ojos, formando quistes. Estos parásitos tienen una predilección especial por el cerebro, ya que este órgano cuenta con un abundante suministro sanguíneo.

Una vez extraída la larva, Palma no necesitó más tratamiento y ahora su vida no corre peligro.

Aunque la neurocisticercosis se identifica raras veces en EE.UU., esta enfermedad es muy común en países en desarrollo de América Latina, África y Asia. Por lo tanto, sigue siendo un misterio cómo pudo infectarse la mujer, que no había salido de su país ni había consumido carne poco hecha.

"He dejado de hacerme preguntas y he empezado a celebrar mi vida y a disfrutarla al máximo", la mujer dijo a WABC-TV.